怎么申请皇冠信用网 _广东一男子20多年不敢一个人出门,医生从他脑中取出10厘米活虫
皇冠信用网会员开户(www.hg0088.us)皇冠会员开户_登3代理,皇冠信用网/—开会员账号—皇冠信用网招登1登2登3皇冠信用网平台出售,家住汕尾的阿勇(化名)今年52岁,从21年前开始出现癫痫大发作以来,他几乎从未独自出过门怎么申请皇冠信用网 。近日,广州的医生从他颅内取出一条潜伏长达20余年、约10厘米的裂头蚴,他感到前所未有的轻松。
不敢独自出门的男子
“距离现在已经有21年了!”阿勇感慨道怎么申请皇冠信用网 。那晚,他在睡梦中突然四肢抽搐、牙关咬紧、眼球上翻,完全失去意识。在当地医院被诊断为“肉芽肿炎”,但医生告知,手术可能加剧发作,阿勇选择了保守治疗。
服用抗癫痫药后,阿勇依然会出现癫痫发作怎么申请皇冠信用网 。他的心理压力与日俱增,“每天在家,不敢一个人出门,担心随时发作。”他感觉脑袋始终堵着东西,只能靠小诊所的药片暂时缓解。
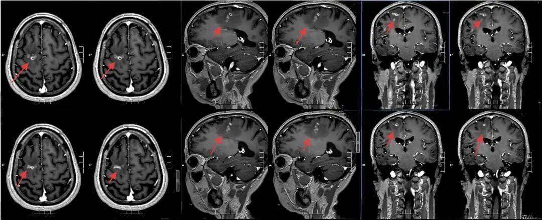
一年前,阿勇的病情进一步加重怎么申请皇冠信用网 。每次发作后,会出现短暂失语、左侧面瘫和肢体麻木。颅脑MRI检查结果提示,可能是寄生虫感染。为寻求进一步诊疗,阿勇来到广东三九脑科医院。
手术取出10厘米活虫
该院神经外二科张旭标副主任医师接诊后,根据影像结果,发现其右额叶病变,局部肉芽肿形成伴周围组织水肿怎么申请皇冠信用网 。“这是大脑为了隔离‘入侵者’筑起一道‘隔离墙’,周围的脑组织被刺激得肿胀。”张旭标解释,这些影像特征高度指向脑裂头蚴病。经比对,病灶范围稳定,手术时机成熟。

术前影像
“很激动,身体被搞垮了20多年怎么申请皇冠信用网 。”得知手术有望根治顽疾,阿勇在期待中夹杂着紧张。
手术采用神经导航技术,精确定位病变,张旭标在显微镜下小心抓取寄生虫、清理“虫窝”,避免损伤周围功能区脑组织怎么申请皇冠信用网 。术中,一条长约10厘米的灰白色寄生虫被完整取出。术后病理报告证实为裂头蚴。

张旭标在手术中
术后恢复良好的阿勇,脸上露出了笑容,“头不‘堵’了,感觉人都开朗、轻松了怎么申请皇冠信用网 。”
该院神经外二科副主任刘妲介绍,裂头蚴病多与饮食习惯相关,常因食用未煮熟的青蛙、蛇类,或饮用被污染的生水所致怎么申请皇冠信用网 。阿勇回忆,自己曾喝过生水,后来偶尔也会食用生腌虾蟹。
寄生虫在大脑中“安家”后,会持续刺激周围组织,引发肉芽肿和水肿,压迫神经结构,进而导致癫痫、头痛、肢体麻木甚至意识丧失怎么申请皇冠信用网 。由于潜伏期长、症状隐匿,极易被误诊为普通癫痫或脑肿瘤。刘妲特别提醒,预防寄生虫感染,关键要做到“三不”:不喝生水,不吃生食或未煮熟的食物,不用生肉敷贴伤口。
来源:广州日报
猜你喜欢
- 2小时前皇冠信用盘代理 _短短半年翻十倍,美方发现中国秘密,特朗普突松口,背后另有企图
- 5小时前皇冠信用网代理 _广州男子收养小野猪一年多从30斤长到150斤,曾有人开价5万购买遭拒
- 10小时前香港皇冠体育 _东部战区发布重磅主题海报《大刀·祭》
- 12小时前香港足球联赛 _18岁女生全素颜相亲,两男子一眼沦陷,选踏实男子,网友赞:内在才长久
- 12小时前香港足球联赛 _北京初雪后多位路人在故宫偶遇李现,他手里拿着相机,网友:期待他更新故宫雪景照片
- 16小时前皇冠信用网开户 _打破沉默!高市早苗一锤定音,500枚导弹将部署, 美国是“幕后黑手”?中俄早有准备,解放军严阵以待
- 1天前皇冠信用網代理 _淮南一名小学生因病去世,班上同学以为是转学纷纷给他写信:“xi望你还记得我们”
- 1天前皇冠信用最新地址 _泽连斯基:特朗普让我们撤离乌东,他要建“自由经济区”
- 1天前皇冠信用網哪里申请 _被小米投诉的村支书已清空账号,曾在视频中模仿雷军新闻发布会,律师解读
- 2天前皇冠信用盘怎么弄 _辽宁舰突然调头直冲日本土,高市早苗万万没想到,中方反制这么快
- 2天前网上买球怎么买 _马斯克、黄仁勋、李飞飞在列,《时代》周刊年度人物致敬AI缔造者
- 2天前皇冠信用代理注册 _果然本性难改:12架F2挂48枚导弹升空,日本演练“偷袭”辽宁舰?
- 3天前皇冠登一登二登三区别 _湖人队被马刺淘汰出阿联酋NBA杯,詹姆斯难救主
- 3天前皇冠信用网登1 _刚刚,日本再次强震!
- 3天前皇冠信用在线申请 _“最快女护士”张水华处分文件为内部文件,医院正调查为何泄露,其家人最新回应
- 3天前皇冠信用网在线申请 _小鹏汽车就“车展低俗视频”报警;广州警方:一男子利用AI生成虚假视频被行拘10日
- 3天前洲际附加赛2组 _北京的雪稳了 周五北京将迎全市性降雪
- 4天前土耳其vs罗马尼亚 _欧冠-维尔茨造点索博点射绝杀 利物浦1-0送国米两连败
- 4天前皇冠信用网在线开户 _体育博主李平康:前国脚戴琳欠球迷钱不还,还辱骂对方 该球迷至今仍在病危中
- 4天前怎么注册皇冠信用盘 _俄军被狠狠上一课:打假海马斯,乌军藏地道,靠机器人无人机作战
- 4天前皇冠信用最新地址 _轻信“军官男友”,女子先后寄出460万元的名表
- 5天前怎么申请皇冠信用网 _受贿超11亿,原中国华融国际控股有限公司总经理白天辉被执行死刑
- 5天前皇冠信用网会员如何申请 _600元/股!6000亿龙头,再创历史新高
- 5天前皇冠信用盘登2登3 _中国反潜巡逻机远海训练遭外军“拦截”,为何没有战机护航?


网友评论