皇冠信用网在线注册_河南一老人做冠脉造影手术时一截导丝断在血管中!院方回应
世界杯皇冠信用网平台(www.hg0088.us)为您提供最新登1登2登3代理网址,包括新2登1登2登3代理手机网址,新2登1登2登3代理备用网址,皇冠登1登2登3代理最新网址,近日,来自河南汝州的高女士反映称,她的父亲在河南省胸科医院做冠脉造影手术时,手术所用导丝末端断裂,一截导丝被遗留在血管中皇冠信用网在线注册。“父亲原本就有血栓,担心随着父亲年龄增长,病情会加剧。”
9月30日,涉事医院医患办公室工作人员告诉南都N视频记者,术后院方组织了相关科室会诊,判断回旋支指引导丝远段断裂,与患者回旋支弥漫性动脉硬化重度狭窄病变及钙化有关皇冠信用网在线注册。如果患者需要做医疗事故鉴定,院方将全力配合。目前仍在与该病人家属进行协商。

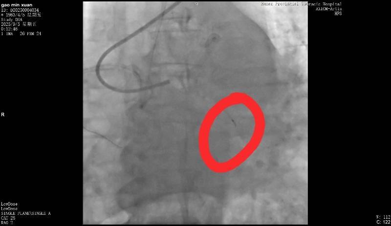
断裂的导丝皇冠信用网在线注册。受访者供图
病人家属:担心遗留导丝会加剧病情
高女士向南都记者介绍,其父亲今年62岁,去年因冠心病在河南省胸科医院做过支架植入手术皇冠信用网在线注册。今年9月2日,因感到胸闷,其父亲再次到该医院复查。
9月5日,高女士父亲在该医院做冠脉造影,手术进行了近3个小时皇冠信用网在线注册。高女士回忆说,手术结束后,负责手术的医生告诉她,“在微创探查体内的时候,一截导丝断裂。”当高女士询问能否再次实施手术取出时,医生表示因病患年纪较大,开胸手术存在危险,并没有取出的必要。但对于遗留导丝会否在后续造成长期影响,该医生则称“无法确定”。
高女士提供的病程记录显示,“手术操作过程中出现回撤导丝困难,送入微导管尝试至坎顿处未成功,退出微导管时远段导丝断裂,多途径尝试取出断裂导丝均未能成功皇冠信用网在线注册。”资料还指出,“通过复查造影,回旋支近段残余狭窄小于30%,未见明显夹层、无复流。”
南都记者留意到,该病程记录给出了心血管外科一病区会诊意见,称“回旋支内见离断的介入导丝,外科取出导丝意义不大,建议内科治疗”皇冠信用网在线注册。
高女士认为,父亲原本就有血栓,按照医院的说法,他的血管狭窄、钙化严重,其担心随着父亲年龄增长,情况会加剧皇冠信用网在线注册。她表示,目前有两个诉求,一是希望医院能给予一定金额的赔偿;二是由医院对接能做开胸手术的医院,必要情况下协助垫付一定费用。
涉事院方:可配合做相关医疗鉴定
9月30日,南都记者联系涉事医院医患办咨询,接线人员表示,目前已了解高女士的诉求,正积极与高女士进行协商皇冠信用网在线注册。
该名接线人员表示,该患者入院后,诊断冠心病、急性冠脉综合征,手术指征明确皇冠信用网在线注册。“术前已与患者及家属沟通病情,告知其冠脉造影及冠脉支架植入术的必要性及相关风险。”
这一说法可以在高女士提供的病程记录中得到印证皇冠信用网在线注册。相关记录显示,9月4日,手术医师进行查房,随后与患者及家属沟通病情,告知其冠脉造影及冠脉支架植入术的必要性及相关风险,其中提及,术后可能出现支架再狭窄或支架内血栓形成,可造成相关脏器急性缺血坏死或功能障碍,危及生命,以及导丝、导管、鞘管等术中所用材料断裂、打折等,必要时需要外科手术治疗。
该医患办工作人员向南都记者解释称,术后院方组织了相关科室会诊,判断回旋支指引导丝远段断裂,与患者回旋支弥漫性动脉硬化重度狭窄病变及钙化有关皇冠信用网在线注册。“如果患者需要做医疗事故鉴定,院方将全力配合。如果对方经济困难,医院愿意垫付费用做鉴定。”其还表示,医院将根据第三方相关鉴定,承担院方该承担的责任。
南都记者了解到,当前高女士向医院提出30万的索赔,院方认为索赔数目太高,建议走司法程序进行司法鉴定,以此明确医院的过错及比例,如果家属对血管里的导丝感到担心,医院可先补偿8000元皇冠信用网在线注册。
高女士表示,当前她已将诉求反映至省卫健委有关部门,正在进一步等候处理中皇冠信用网在线注册。
采写:南都N视频记者 林诗妍
猜你喜欢
- 51分钟前皇冠信用网平台 _英超-刺激!狼队90分扳平94分再送乌龙 阿森纳2-1继续领跑
- 8小时前皇冠信用盘代理 _短短半年翻十倍,美方发现中国秘密,特朗普突松口,背后另有企图
- 11小时前皇冠信用网代理 _广州男子收养小野猪一年多从30斤长到150斤,曾有人开价5万购买遭拒
- 16小时前香港皇冠体育 _东部战区发布重磅主题海报《大刀·祭》
- 18小时前香港足球联赛 _18岁女生全素颜相亲,两男子一眼沦陷,选踏实男子,网友赞:内在才长久
- 18小时前香港足球联赛 _北京初雪后多位路人在故宫偶遇李现,他手里拿着相机,网友:期待他更新故宫雪景照片
- 22小时前皇冠信用网开户 _打破沉默!高市早苗一锤定音,500枚导弹将部署, 美国是“幕后黑手”?中俄早有准备,解放军严阵以待
- 1天前皇冠信用網代理 _淮南一名小学生因病去世,班上同学以为是转学纷纷给他写信:“xi望你还记得我们”
- 1天前皇冠信用最新地址 _泽连斯基:特朗普让我们撤离乌东,他要建“自由经济区”
- 2天前皇冠信用網哪里申请 _被小米投诉的村支书已清空账号,曾在视频中模仿雷军新闻发布会,律师解读
- 2天前皇冠信用盘怎么弄 _辽宁舰突然调头直冲日本土,高市早苗万万没想到,中方反制这么快
- 2天前网上买球怎么买 _马斯克、黄仁勋、李飞飞在列,《时代》周刊年度人物致敬AI缔造者
- 2天前皇冠信用代理注册 _果然本性难改:12架F2挂48枚导弹升空,日本演练“偷袭”辽宁舰?
- 3天前皇冠登一登二登三区别 _湖人队被马刺淘汰出阿联酋NBA杯,詹姆斯难救主
- 3天前皇冠信用网登1 _刚刚,日本再次强震!
- 3天前皇冠信用在线申请 _“最快女护士”张水华处分文件为内部文件,医院正调查为何泄露,其家人最新回应
- 3天前皇冠信用网在线申请 _小鹏汽车就“车展低俗视频”报警;广州警方:一男子利用AI生成虚假视频被行拘10日
- 4天前洲际附加赛2组 _北京的雪稳了 周五北京将迎全市性降雪
- 4天前土耳其vs罗马尼亚 _欧冠-维尔茨造点索博点射绝杀 利物浦1-0送国米两连败
- 4天前皇冠信用网在线开户 _体育博主李平康:前国脚戴琳欠球迷钱不还,还辱骂对方 该球迷至今仍在病危中
- 4天前怎么注册皇冠信用盘 _俄军被狠狠上一课:打假海马斯,乌军藏地道,靠机器人无人机作战
- 5天前皇冠信用最新地址 _轻信“军官男友”,女子先后寄出460万元的名表
- 5天前怎么申请皇冠信用网 _受贿超11亿,原中国华融国际控股有限公司总经理白天辉被执行死刑
- 5天前皇冠信用网会员如何申请 _600元/股!6000亿龙头,再创历史新高


网友评论